細菌性膣症について
細菌性膣症は膣内の正常な常在菌のバランス、いわゆる膣内フローラの乱れが原因でおこります。
フローラとは:
一般的にフローラは「腸内フローラ」で聞き慣れている言葉ですよね。
腸の中も、膣の中と同じでいろいろな常在菌が生息していて、その菌たちがバランスとをって膣や腸の中を健康な状態に保つ働きをしています。
顕微鏡でその常在菌が生息している状態を観察してみると、まるでお花畑(英語でフローラ)のように見えることから、膣内フローラ、腸内フローラと呼ばれるようになりました。
フローラという英語の元々の意味はその地域特有の植物の群生を表すもので、あなたのフローラもまさにあなた特有の常在菌の群生ですよね。
通常、膣内が正常な状態を保っているのは膣内フローラのバランスが良いおかげです。特にデーデルライン桿菌という乳酸菌の一種が膣の中を健康な状態に保ってくれています。
その膣内フローラのバランスが乱れて雑菌、特に膣ガルドネラ菌などの悪い菌が多くなってしまうことによって起こる状態が細菌性膣症です。性病ではありません。
腐った魚臭い、イカ臭い、ザリガニ臭いと表現されるような異臭のあるおりものが最も特徴的な症状です。
細菌性膣症という状態は多くの人に知られていないため、性病でもないのにパートナーから性感染症ではないかと疑れてしまったり、体臭ではないかと思い込まれることも少なくありません。
パートナーにとっては臭いが気になっても言い出せないことが多く、「男が黙って去っていく病気」と表現した欧米の研究者もいます。
細菌性膣症とは
- 日本性感染症学会ガイドラインでは、性感染症ではなく性感染症関連疾患として扱われている。つまり性病ではない。
- 膣ガルドネラ菌やその他の雑菌の繁殖によるノーマルフローラの乱れが原因。
- 膣洗浄
- 過剰な洗浄
- 抗生剤の服用
- 過度な疲労やストレス
- 過度なセックス
- 妊婦の細菌性膣症は絨毛膜羊膜炎、低出生児体重児、早産、赤ちゃんの肺炎、髄膜炎、菌血症などの原因となるので治療が大事。
おりものの量が増えたり臭いが気になると思った時は先ずは婦人科を受診するか、おりものや臭いの原因を調べてみましょう。
また、膣内フローラの乱れた環境の中にクラミジアや淋病が共存している可能性もあります。細菌性膣症そのものは性病ではありませんが、一度クラミジアや淋病の検査をしておくことを強くお勧めします。
入浴中膣内にお湯が入ってしまいやすい方は、その水による雑菌の繁殖が原因で細菌性膣症になってしまう場合もあります。しばらく入浴はひかえてシャワーを利用してみることも試してみましょう。
抗生物質の使用には注意し不必要な抗生剤の使用は避けましょう。
規則正しい生活習慣に気をつけ、善玉常在菌で膣内フローラのお花畑をきれいなお花でいっぱいにするように心がけていきましょう。
細菌性膣症の症状
女性の症状
腐った魚臭い、イカ臭い、ザリガニ臭いと表現されるような異臭のあるおりもの
灰色がかったおりもの
無症状
細菌性膣症の検査
細菌性膣症の検査のタイミング
おりものや魚臭い、イカ臭いようなにおいが気になった時。
細菌性膣症の検査方法
細菌性膣症は膣内のノーマルフローラのバランスが崩れた状態なので、検査は膣内の細菌のバランスやおりものの状態で判断します。
一般的な検査方法として
- 特徴的な菌の出現状態を顕微鏡で観察する方法(Nugent score:ニュージェントスコア)
- WHOの診断基準
があります。
アイラボでは膣ぬぐい液を使って、どのようなフローラが膣内環境に影響を及ぼしているのかで診断します。

BV-1:クルーセルは見られないが、標本背景の大部分が膣ガルドネラ菌 である。
BV-2:クルーセルが見られ、標本背景に好中球の増加(炎症像)を認めない。
BV-3:クルーセルが見られ、標本背景に好中球の増加(炎症像)を認める。
※BV:Bacterial vaginosis (細菌性膣症の意味です)
クルーセルとは:

クルーセルとは膣の上皮細胞の上にガルドネラ菌などの悪玉菌(悪臭の原因菌)が群がっている様子をいいます。細菌性膣症のシンボル的な顕微鏡所見です。
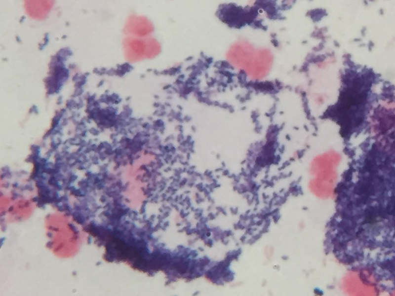
顕微鏡で見た細菌性膣症
細菌性膣症の初期段階(BV-1)
乳酸菌はほとんど見られず、細かな細菌(膣ガルドネラ菌)によって膣内は支配されています。(黒っぽい細かいつぶつぶ)まだ細胞の上に群がっているクルーセルの状態ではありません。
乳酸菌から膣ガルドネラ菌に入れ替わった状態で、細菌性膣症の初期段階です。この段階でも魚臭い症状が気になることが多いのです。
白血球が増えていないので、まだ膣炎を起こしてはいない状態です。
細菌性膣症(BV-2)
膣の中の上皮細胞にクルーセルが見られます。細胞の上に細かい黒っぽいつぶつぶの菌が群がっている様子がわかると思います。
しかし、背景は綺麗で白血球などの炎症細胞が見られません。膣炎は起こしていません。
膣炎を起こしている細菌性膣症(BV-3)
膣ガルドネラ菌などが群がったクルーセルが見られるほか、沢山の白血球(ごま塩のように見える)もいっぱい見られます。この段階になると膣炎を合併している細菌性膣症の状態です。
炎症を抑える治療が必要になってくる可能性もあります。
細菌性膣症の治療法
細菌性膣症は膣内フローラの乱れが原因なので、基本的にはお薬による治療をせずに生活習慣を整えていくことで膣内フローラの乱れを整えていきます。膣の自浄作用に任せて治すことが原因から根治していく一番いい方法だからです。
自浄作用により一時的におりものが増えるように感じることもありますが、膣の中の悪玉菌を排除している作用かもしれないので、しばらく様子をみましょう。
生理が終わった後に膣内フローラが整うことも多いので、数回生理のサイクルで様子を見てみましょう。
膣内フローラが乱れているときの自己対処方法
しっかり体を休ませる
ストレスや疲労は免疫力を低下させて、雑菌が繁殖しやすい体にしてしまいます。発酵食品や繊維の多い野菜など、健康的な食事をして、自分に合ったリラックス時間をしっかりととり、質の良い睡眠を心がけてよく休むようにしましょう。
腸内環境を整える
腸内環境は体の健康の基本です。腸内で善玉菌が元気ならば、膣内でも善玉菌が元気である可能性が高いです。発酵食品やプロバイオティックス、腸内環境をよくする運動をしていくことで、膣の環境も良くなります。
膣洗浄をしない
膣洗浄をしていっときは気持ちがいい気がしますが、実は善玉菌まで全て洗い流してしまうので、逆効果なのです。膣洗浄はどのタイミングでしてもメリットがないものですが、とくに膣内フローラが乱れているときに、膣内洗浄をすることは悪化を招くのみなのでお勧めしません。膣の中はそっとしておいてあげるのが一番です。
石鹸で洗いすぎない
清潔にするのは大事です。でも、善玉菌や必要なバリアまで洗い流してしまっては、膣のバリア機能が低下して、雑菌が入り込みやす状態になってしまいます。デリケートゾーンの洗浄もはさらに優しくしましょう。石鹸を使ってデリケートゾーンを洗うことによって、外陰部の善玉常在菌が除去されてしまい、膣の中にばい菌が入りやすくなってしまうので、デリケートゾーンが気持ち悪い時はぬるま湯で優しく流す程度にしましょう。
通気性のいい肌着をつける
私はコットン100%の肌着がお勧めですが、速乾性のあるものの方がムレを防げると感じる人も多いようです。自分の肌に合ったもので良いですが、なるべくムレを防ぎ、肌に刺激の少ないものをつけましょう。デリケートゾーンの調子が悪い時は、パンティーライナーなどではムレて逆効果なので、まめに肌着を取り替えるようにしましょう。お家にいる時は、なるべく締め付けの少ない服装がより良いですね。
パンティーライナーを使わない
パンティーライナーは清潔に保てるような気もしますが、通気性が悪く、ニオイや雑菌の繁殖の原因になります。使い捨てのパンティーライナーではなく、布パンティーライナーやハギレ使い捨てパンティーライナーも試してみてくださいね。
ハギレ使い捨てパンティーライナーとは、柔らかい使い古したTシャツやタオルを小さく切って、パンティーライナーがわりにするのです。一回使ったら捨ててしまうので、縫う必要も洗う手間もありません。気になるようだったら、断面を中にして折って使えばOK!通気性もいいし、汚れたらそのままゴミ箱に入れてしまえばいいのでとても簡単です。
糖質を少し抑える
糖質は雑菌の大好物です。デリケートゾーンが辛い時は、少しだけ緩糖質オフをしてみるだけでもだいぶ楽になることもあります。体の声をしっかり聞いてあげましょうね。
適度な運動をする
適度な運動をすると、体の中に酸素が行き渡り、また、血行が良くなって雑菌の排除に必要な攻撃細胞(好中球)が雑菌の元へ集まりやすくなる、そして新陳代謝が良くなることにより、不要物の排除がしやすくなるので、適度な運動は秩の自浄作用を高めてくれます。
細菌性膣症の治療
メトロニダゾール膣錠(フラジール膣錠)
1錠250mgの膣錠を6日間
クロラムフェニコール膣錠(クロマイ膣錠、クロロマイセチン膣錠)
1錠100mgの膣錠を6日間
内服療法
メトロニダゾール1回500mgを1日2回7日間内服
などの治療方法ががあります。
(参照:日本性感染症学会 性感染症 診断・治療ガイドライン2016)





